Dispositivi Medico Odontoiatrici e Implanatari | Partner |
Ciò che ci appassiona della nostra professione è di poterci dedicare a degli aspetti fondamentali della vita delle persone.
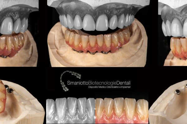
Insieme agli odontoiatri abbiamo vissuto la trasformazione di tante persone attraverso il nostro lavoro: dal semplice ripristino delle funzioni masticatorie alla maggiore confidenza in se stessi e alla vita sociale più gioiosa e intensa. Si può dedicare il proprio tempo a qualcosa di più bello?
LA BELLEZZA: riflessione, spunto maturato parlando con amici, dalla lettura e condivisione di varie opinioni.
Gli italiani sono considerati geniali, creativi, raffinati, espressione di una cultura millenaria ancora vitale, che si è sviluppata nella infinità varietà del paesaggio e dell’Arte, siamo anche individualisti, familisti, disorganizzati, privi di senso civico, insofferenti alle regole e incapaci di una visione strategica, di uno sforzo comune.
Per questo siamo sempre stati esposti nei secoli al rischio di perdere la nostra libertà, nonostante tutto L’Italia è un Paese di infinita bellezza e “ purtroppo” di insopportabili contraddizioni
E se fosse la bellezza la chiave per portare il nostro Paese fuori dalle secche CHE DA ANNI STIAMO ATTRAVERSANDO dalla recessione non solo economica ma soprattutto morale in cui da troppo tempo si dibatte ?
Liberare la Bellezza ritornando a prenderci cura dell’ ”Altro”, sia esso persona, istituzione, comunità, paesaggio, opera d’arte.
Bellezza intesa non solo come arte, paesaggio, eleganza, ma anche “saper fare”, artigianalità, professione, eccellenza, perfezione……per quanto mi/ci riguarda “fare al meglio il proprio lavoro “












