Home » Profilo » I nostri servizi
Laboratorio Odontoiatrico Smaniotto009

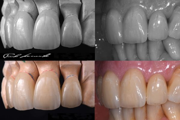
Cosa offriamo – servizi odontoiatrici

I nostri lavori vengono effettuati secondo precisi protocolli di qualità, da tecnici altamente qualificati e con tecnologie all‘avanguardia. 

I nostri obiettivi sono: